Fillings
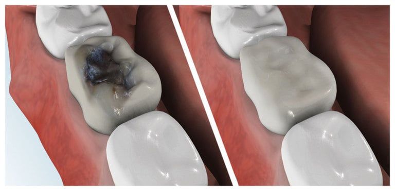
A filling is a way to restore a damaged tooth back to its normal function and shape. When you get a filling, the dentist will remove the decayed material from the tooth, clean the affected area, and then fill the area with a material designed for fillings. There are many types of filling material available, ranging from gold to porcelain.
What's In A Name?
Tooth-colored fillings, white fillings and composite resin fillings are all names for the high-strength, natural-looking fillings that can be placed today instead of silver or gold (also known as amalgam fillings). No matter what the name, InfoStar Dental Template 3 will know just what you're talking about when referring to this natural-looking filling.
Call us at 916-988-2323 or request an appointment online so we can discuss the benefits of white fillings and how they can help improve your smile.

Tooth-Colored Fillings
Composite fillings are today's modern filling choice. They are made to match your tooth's natural color to make them virtually invisible to notice and are placed onto the tooth by bonding the filling material to the tooth so they do not have the unlikely chance of falling off. Many patients choose to replace their old silver and gold fillings with composite fillings.
Other Benefits:
- Beautiful in appearance
- Completed in a single visit
- No filling leaks
- Less chance of tooth cracking

Strong and Natural Looking
White fillings are made from a high-strength composite resin that can be easily color-matched to your natural tooth making it nearly invisible to you and anyone else. Unlike silver and gold fillings, composite tooth-colored fillings actually bond to the tooth which means they support the surrounding tooth structure, which helps to prevent breakage and insulate the tooth from excessive temperature changes. You are much less likely to have a composite filling fall out which is a common issue with metal fillings.


Replacing Old Fillings
There is now new technology that allows you to replace old silver and gold fillings with a more natural looking, composite filling. Composite fillings are bonded to the tooth and research has proven them to be about 90% as strong and healthy as natural tooth material.
Old fillings have been known to break down overtime, creating the potential for cavities, pain or even cracking the tooth itself! Composite fillings can be completed in a single visit, look and function like your natural teeth and have less of a chance of problems in the future.
Virtually everyone is a candidate to have metal fillings replaced with natural-looking white fillings. Request an appointment online or call our office directly at 916-988-2323 to discuss replacing your old metal fillings with white ones.

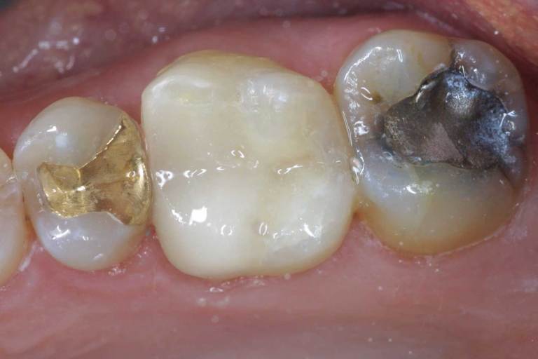
Types of Fillings
There are four different choices that you have when it comes to filling a cavity.
- Composite Fillings - Natural tooth-colored filling, bonds to the tooth to provide added security.
- Silver Fillings - Inexpensive and strong amalgam based filling.
- Gold Fillings - More attractive than silver and provide for a better fit.
- Porcelain Fillings - Also called inlays; the most attractive and durable of the tooth colored choices.

How Much Do White Fillings Cost?
As with every dental procedure, prices vary depending on each person's unique treatment situation but white fillings generally cost more than metal fillings. Most patients report back to us that the advantages of white fillings outweigh the price differences because of their natural appearance and unique ability to bond to the teeth.
Are White Fillings Covered Under Dental Insurance?
Many dental insurance plans cover the price of white fillings up to that of metal fillings. InfoStar Dental Template 3 will gladly check with your dental insurance provider to see just how much they will cover and help you experience white fillings for yourself.
If you are thinking about replacing your old metal fillings with natural-looking white fillings, please call us at 916-988-2323 or request an appointment today. We'll get you in and will go over everything needed to get you on your way to a much more natural looking smile.

Schedule an appointment today!

